خمیر دندان حاوی فلوراید بهتر است یا بدون فلوراید؟
شاخص ترین موضوعی که هنگام انتخاب خمیردندان نمایان می شود، مواد به کار گرفته شده در فرایند تولید آن می باشد. اینکه چه موادی در تولید خمیردندان مورد نظر استفاده شده و این مواد طبیعی هستند یا شیمیایی می تواند دغدغه مهمی باشد. اینکه این مواد تا چقدر مفید و تا چه اندازه می توانند مضر باشند دلیل اصلی این دغدغه است.
فلوراید یکی از چالش برانگیزترین مواد در رابطه با خمیردندان است. فواید فلوراید در تحقیقاتی قبل از سال 1914 مورد بررسی قرار گرفت و بعد از تایید فواید آن برای دندان ، به صورت گسترده در خمیردندان ها مورد استفاده قرار گرفت. علاوه براین اضافه کردن فلوراید به آب آشامیدنی شهری در دستور کار خیلی از شهر ها قرار گرفت. اما در آن دوره تحقیقاتی جدی در رابطه با مضرات استفاده از فلوراید انجام نگرفت.
هنوز بین متخصصان در رابطه با استفاده از این ماده در خمیردندان ها اختلاف نظر هست. عده ای استفاده از فلوراید در تولید خمیردندان را ضروری می دانند. این افراد معتقدند که برای جلوگیری از پوسیدگی دندان هیچ راهی به غیر از استفاده از فلوراید وجود ندارد. از سوی دیگر عده دیگری از متخصصان معتقدند استفاده از فلوراید موجب آسیب هایی جدی به دندان ها و بدن انسان می شود.

آیا باید نگران خمیر دندان حاوی فلوراید باشید؟
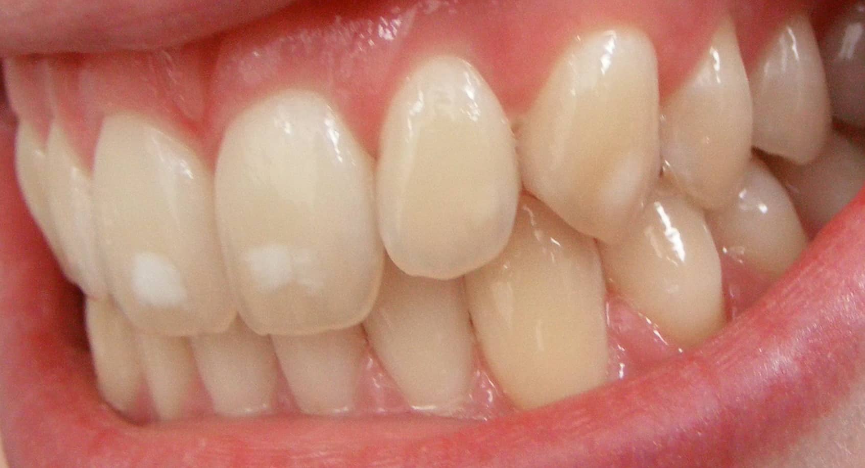
حتی افرادی که با مصرف فلوراید مخالف هستند، منکر بعضی از فواید آن برای دندان نیستند. موضوع مهم این است که آسیب های استفاده از فلوراید بیشتر از فواید آن است. فلوئوروزیس دندانی (نوعی بیماری که موجب ایجاد لکه روی دندان می شود)، آسیب به مینای دندان، حساسیت های دهانی، مسمومیت فلوراید و آسیب به غده پینه آل مغز از آسیب های استفاده از فلوراید است. بله مغز!!! پس صرفا در نطر گرفتن بعضی فواید فلوراید برای دندان استفاده از آن را توجیه نمی کند.
غده پینه آل غده ای نخودی شکل است که بین دو نیمکره مغز و در وسط مغز قرار دارد. این غده مسئول تولید چندین هورومون می باشد که مهم ترین آن ملاتونین می باشد. آسیب به غده پینه آل می تواند چرخه خواب و سلامت قلب و عروق را مختل کند.

انتخاب بین فواید و مضرات فلوراید
حال این سوال سخت پیش می آید که بین فواید و مضرات فلوراید کدام برجسته تر است؟
یا به طور دقیق تر خمیردندان با فلوراید استفاده کنیم یا خمیردندان بدون فلوراید؟
جواب واضح ما استفاده از خمیردندانی است که فلوراید ندارد اما با استفاده از مواد غیر مضری نبود فلوراید را جبران کرده است.
که به عنوان بهترین خمیردندان دنیا شناخته شده است، با استفاده از مواد صد در صد طبیعی به این مهم دست یافته است. استفاده از پروپولیس زنبور عسل در این خمیردندان باعث شده که از پوسیدگی دندان ها پیشگیری شود. علاوه براین استفاده از ژل خالص آلوئه ورا در خمیردندان فوراور کمک می کند تا دندان هایی درخشان و مستحکم داشته باشید. نهایتا نعنای طبیعی استفاده شده در خمیردندان فوراور، فضای دهان و تنفس شما را شاداب و پر طراوت می کند.

از اینکه با ما همراه هستید بسیار سپاسگزاریم و امیدواریم از مطالعه این مقاله لذت برده باشید.
دیدگاه خود را بنویسید